Your partner in reproductive medicine
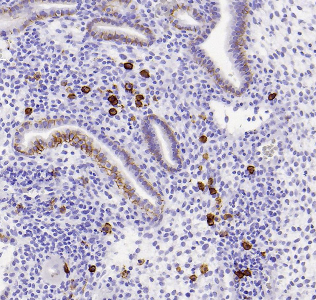
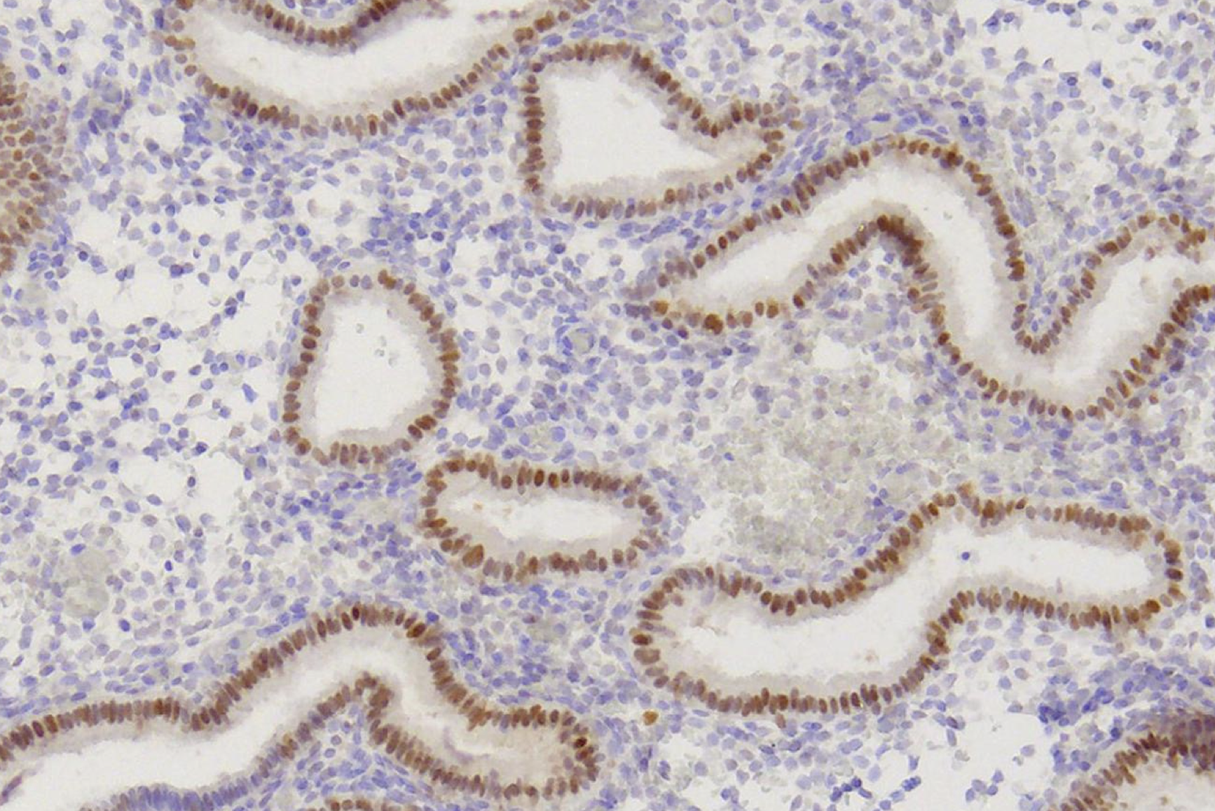
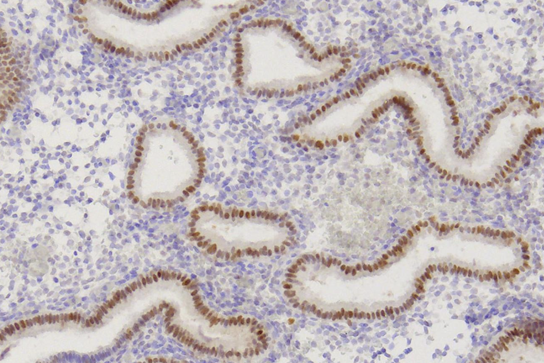
 We offer a high quality analysis of your endometrial biopsy, especially for patients with recurrent miscarriage or implantation failure.
    
 
 Learn more 
 







